Twist Bioscience
January 15, 2018
8 min read

What Is Exome Sequencing?

Learn how Exome Sequencing is used to help understand genomic mistakes and their resulting diseases.
What Is Exome Sequencing?
Contained inside the nucleus of each of your cells is your genome—a DNA code unique to you that is analogous to an instruction manual. Every living cell’s genome contains genes, specific portions of the code that provide the instructions on how to make proteins. Proteins are tools used by life to control form and function. Proteins control development from conception to today, and right now, proteins are working away metabolising food into the energy that keeps each living being alive. As each person is a product of their genome, things can go wrong when the genome’s sequence has its sequence changed, known as a mutation. Exome sequencing is a tool to help understand these genomic mistakes and their resulting diseases, and is starting to see routine use in modern medicine.
Cancer is one such mistake that affects one third of the world’s population on some personal level. Cancer can originate in almost any cell type in the body, and is caused by one or more variations in the genome that is either inherited or caused by a mutation during your lifetime. A cancerous cell has damaged replication machinery, and it begins to divide uncontrollably, producing tumours. 
Pre-existing “genetic” conditions like some cancers or cystic fibrosis are often caused by a mutation to the genetic code that is carried by one or both gamete cells you inherit from your parents, causing every cell in the body to contain the problem causing genetic mutation. Changing one letter in the genome sequence can completely destroy the function of a protein vital to a bodily function, meaning small mistakes may have a huge physiological impact.

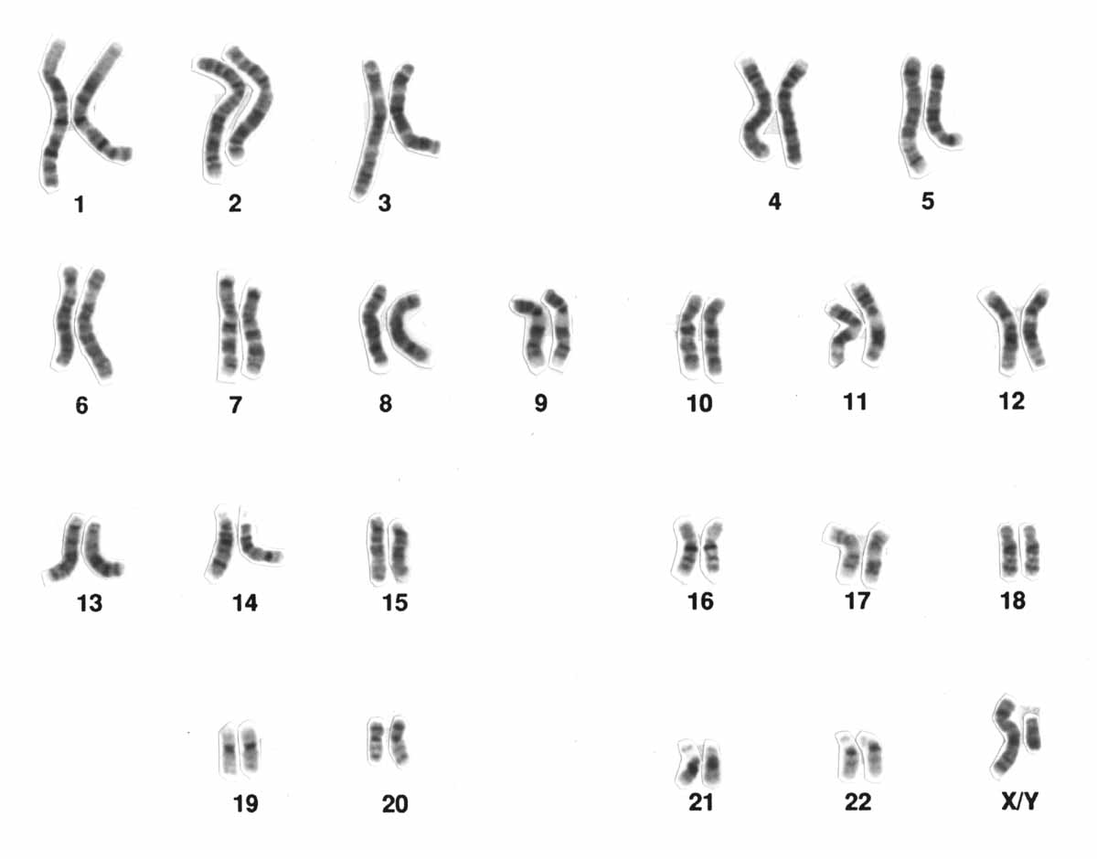
A set of microscope images displaying a male’s 23 pairs of chromosomes produced for karyotyping. Chromosomes are a how a cell stores its 3.3 billion base pair genome when replicating. One half of each pair is inherited from the sperm cell, the other from the egg. Source: Wikimedia Commons. Author: NIH

As the human genome is inextricably linked to disease and heredity, the unravelling of its 3.3-billion-character-long sequence by the Human Genome Project is both one of the greatest scientific achievements of the last century, and one of the most important advances in modern medicine. Since humanity’s ability to access a reference human genome sequence, our understanding of the link between our genomes and disease has advanced dramatically as the identification of disease-causing mutations became far simpler.
Genomic medicine is the use of a patient’s genetic sequence as part of the decision-making process in their clinical care. It has already been used successfully for understanding the underlying cause and best treatment strategy for several cancers, in pre-empting and preventing disease, in understanding patient-specific pharmacology, and in the diagnosis of rare and undiagnosed diseases. Genomic medicine is a form of personalized medicine – clinical care that is abstracted from the “one size fits all” approach, where treatments are tailored and targeted specifically to the patient based on their medical representation.
By virtue of our understanding of the human genome, common mutations to disease associated genes like BRCA1 can be identified with a simple test. Such genetic tests empower people with the ability to enter conversations with their doctors and genetic counsellors to find the best route to treatment from their available options. .
In 2013, film star Angelina Jolie wrote “My Medical Choice” for the New York Times, a piece detailing her decision to undergo one of a number of available preventative treatments - a double mastectomy.
After a blood test, she discovered she had inherited a mutation in her BRCA1 gene that put her at an “87% risk” of developing breast and ovarian cancer—the same diseases many other women in her family had suffered. After making the decision to undergo preventative surgery, her chances of developing breast cancer have now reduced to around 5%. Read more on BRCA1 and its significance at Cancer.gov.
A key criticism of personalized medicine is its poor accessibility due to high costs. Costs are comparatively low when testing for a disorder caused by a mutation in a single gene like BRCA1, as genetic counsellors know what they’re looking for, and a tiny fraction of the 3.3 billion letter genetic code needs to be analyzed. For many other diseases, especially rare inherited diseases, the origin of the disease causing mutation is a mystery, and analysis of the patient’s entire genome is required.

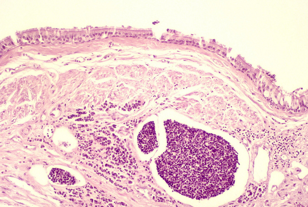
A microscope image of a cancerous tumour (stained in dark purple) taken from a tissue sample. Source: Flickr. Author: Yale Rosen. Image licensed by CC BY-CA 2.0

The initial draft human genome cost almost $3 billion to sequence through a low-throughput method known as Sanger sequencing[1]. Next-generation sequencing technologies have drastically reduced sequencing costs over the past decade. In 2008, a human genome sequence cost $10 million to sequence. Today, a human genome sequence can cost as little as $1,000 (not including analysis)[2].
Next-generation sequencing severs a genome sample into millions of tiny parts. These parts are sequenced in parallel, and the resulting short sequences are then realigned to form the full genome. Comparisons of a patient’s genomic data to publically available reference genome sequences allow for an understanding of their genetic makeup and where unusual differences might point to disease. Informed treatment decisions and discoveries can then to be made. 
A standard indicator for the quality of a sequencing experiment and its resulting data is the amount of times a sequence in the reference genome appears in the sequencing data. A minimum industry standard is a coverage of 30x, meaning that each letter of the genome in question is sequenced 30 separate times, giving confidence that the data is reliable, and the realignment of the sequences was performed correctly.
Exome sequencing is an adjunct to genome sequencing. Around 85% of all genetic diseases are caused by mutations within the genes, yet only 1% of the human genome is made up of genes. Between the genes are non-coding genetic elements. These elements are responsible for regulating the rate genes that are translated into proteins, and for the higher order three-dimensional structure of DNA, for example intertwining it to form chromosomes.
For many patients and researchers, huge amounts of time and money can be saved if they are able to focus solely on the gene encoding regions of the genome - another name for these regions is the exome. It is estimated that all in, 30x human genome sequence can be over 4x more expensive to retrieve than a 40x human exome[3].
A typical exome sequencing experiment starts in the same way as genome sequencing – the genome is broken apart into small pieces. Then the exome is “captured” from the sequence pool. DNA has two strands, one the complementary of the other. When the genome fragments are heated above 200℉, their double helix structure comes apart. Then, because the sequence of the human exome is available thanks to the human genome project, it is possible to design a pool of synthetically made DNA strands that are complementary to small parts of every gene in the exome. By fixing these small synthetic strands on a solid surface, they will bind to, and fish out only the sequences containing complementary exome DNA when presented with the pool of genome pieces.
Up to 8% of the world’s population is thought to suffer from heritable “rare disorders.” Over 7,000 rare diseases are known—a number that is rapidly growing as the origin of undiagnosed diseases are being discovered by technologies like exome sequencing and whole genome sequencing. Such diseases are caused by mutations changing a single letter to another in a gene such as an A to a T, an insertion of foreign DNA from another point in the genome or another organism like a virus, a deletion of a small number of letters, or the transposition of a part of one chromosome onto another. All such events are discoverable by exome sequencing. For many patients, extracting and screening the exome may represent a low-cost first step towards targeted treatment. 
However, exome sequencing is not trivial and takes high quality reagents and exome capture DNA to receive highly accurate data that can be used in clinical research.
Twist Bioscience is a leader in high-throughput, high-quality DNA synthesis. Exome capture libraries, or capture of any DNA fragments, are a perfect application for Twist Bioscience synthetic DNA. Currently, Twist Bioscience offers an exome capture kit that contains the synthetic DNA probes to capture every gene in the reference human genome, that can reduce exome sequencing costs by more than 30%. To learn more about Twist Bioscience Human Core Exome Enrichment Kit, visit our product page to find out more.
[2]  Warr, Amanda et al. “Exome Sequencing: Current and Future Perspectives.” G3: Genes|Genomes|Genetics 5.8 (2015): 1543–1550. PMC. Web. 8 Jan. 2018.

[3] Warr, Amanda et al. “Exome Sequencing: Current and Future Perspectives.” G3: Genes|Genomes|Genetics 5.8 (2015): 1543–1550. PMC. Web. 8 Jan. 2018.

What did you think?

Dislike

Love

Surprised

Interesting

Get the latest by subscribing to our blog